Vai al contenuto

Calogero

New members
  • Numero contenuti

    1
  • Iscritto

  • Ultima visita

Calogero's Achievements

Newbie

Newbie (1/14)

0

Reputazione Forum

  1. Calogero

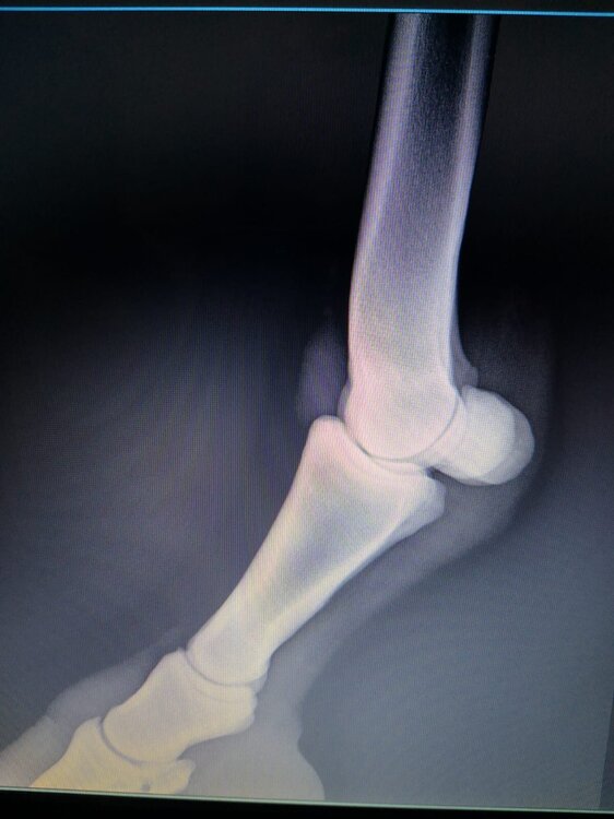
    Frattura o no? Aiuto

    Salve volevo chiedervi qualche informazione in merce tò a un problema che ho avuto con la mia puledra. Qualche settimana fa mentre stavo lavorando alla corda è scivolata urtato l'arto posteriore sinistro. Arrivati in box ho messo dell'acqua a pressione perché si era gonfiato sia il nodello sia il pastorale. Già l'indomani l'arto era sgonfio ritornato normale, quindi ho continuato a lavorarla. Ma dopo qualche giorno di lavoro alla corda leggerissimo, al rientro in box ho notato che sia il nodello che il posturale gonfiavano nuovamente. Allora ho chiamato il veterinario che ha detto che la cavalla aveva una lussazione e mi ha insegnato come cura una fasciatura con della creta per 24h per cinque giorni e un antinfiammatorio. Dopo un paio di giorni la fasciatura ha fatto come delle vesciche e il gonfiore è aumentato dal pastorale alla garra. Abbiamo chiamato un altro veterinario abbiamo fatto vedere anche a lui la cavalla e diceva che poteva essere la frattura del ditino, ma si dovevano fare le lastre per essere sicuri. Ora abbiamo fatto le lastre e il radiologo dice che c'è dell'infiammazione ma non c'è niente di grave. Il veterinario,viste le lastre dice che deve essere operata. Allora abbiamo consultato un'altro veterinario che dice che la cavalla non ha assolutamente niente. Ora io vi allego le radiografie, datemi un vostro parere perché non só più cosa fare. Grazie
×
×
  • Crea Nuovo...